osteochondrosisIt is a world-class disease because it affects people all over the world (40-90%).This pathology in most cases occurs in people of mature age, after 30 years.Back pain in everyday life is often attributed to this disease.In our article we will look at the detailed symptoms, find out the causes and treatment methods of osteochondrosis.In medicine, this disease is called a lesion of the spinal tissue of a degenerative-dystrophic nature.Osteochondrosis is accompanied by injuries to the intervertebral discs, articular surfaces, vertebral bodies and ligaments.As a rule, with osteochondrosis, bones and ligaments are affected first.
There are several stages in the development of osteochondrosis.Let's look at them in more detail:
- Osteochondrosis in the initial stage looks like dehydration of the nucleus pulposus, which causes a decrease in the position of the vertebrae.To make it clearer to the reader, let's explain what the nucleus pulposus is.This medical term refers to the interior of the intervertebral disc, which is represented by semifluid (connective tissue fibers) and gelatinous (chondrin) components.During this period, the patient experiences cracks in the annulus fibrosus.
- The next stage is closely related to the previous one: due to vertebral prolapse, the ligaments and muscles sag.This condition causes a motor imbalance of the vertebrae.This period is characterized by spondylolisthesis or, in simple terms, the displacement of the vertebrae.
- The third stage of the development of osteochondrosis is characterized by more striking manifestations for an ordinary person: protrusions of the intervertebral discs (protrusions of their contents) and arthrosis.
- The final stage of osteochondrosis is associated with osteophytes.Our body, upon noticing the “looseness” of the vertebrae, tries to return the spine to its original functions: support and protection.To achieve this, bone growths appear on the surfaces of the vertebrae, which are called osteophytes.During the same period, fibrous tissue grows.The result of these processes is the entrapment of the motor segment of the spine within the shell.
Osteochondrosis is a multispecies disease.There are osteochondroses of the cervical, thoracic and lumbosacral regions, as well as a common type of osteochondrosis.Osteochondrosis of the knee joint has become increasingly common in medical practice.
Reasons for the development of osteochondrosis.
The reasons for the development of this disease are numerous and are not always easy to determine.People approach the development of osteochondrosis due to the sedentary lifestyle, so common today, excess weight, bad habits (in particular, smoking), poor diet, flat feet, intense physical activity and poor posture.An injury to the spine can contribute to the appearance of osteochondrosis and can also develop due to genetic predisposition.Metabolic disorders, infections, congenital anomalies and age-related changes are common causes of the development of this disease.An interesting fact is the connection between the development of osteochondrosis and vibrations.This directly affects drivers of agricultural machinery or machine operators.
Today's osteochondrosis does not have any major age restrictions: it occurs in both older and young people.There is an opinion that the development of osteochondrosis is associated with salt deposits, but this is not entirely fair.Salt deposits are more likely to be a consequence of osteochondrosis.The cause of pain in osteochondrosis is usually irritation of the nerve roots, which in medicine is called irritation.Vascular disorders against the background of osteochondrosis develop due to a violation of the innervation of the vasomotor system.
Symptoms of osteochondrosis

The most obvious symptom of osteochondrosis is pain and discomfort.Pain is not always constant;It may periodically worsen and then disappear.These symptoms are usually accompanied by numbness in the extremities.In most cases, the pain radiates to the left side of the body.If you notice symptoms of this disease in yourself, hurry up and consult a specialist: a therapist or a neurologist.Early detection of osteochondrosis will improve the effectiveness of its treatment.
With osteochondrosis, patients often complain of increased fatigue.An interesting feature, which at first glance is not clear how it is related to this disease, isthe chill of the extremities.Headache and a feeling of dizziness often accompany osteochondrosis.A characteristic feature of the disease is also great eye fatigue and even a decrease in vision.With osteochondrosis of the lumbosacral region, patients may experience problems with the reproductive system.It is important for women to know that osteochondrosis can interfere with the normal course of pregnancy and with conception itself.Each type of osteochondrosis has its own characteristic signs.Thus, with the cervical type of the disease, signs are observed in the form of headaches (especially when moving the head), dizziness when turning the head, impaired sensitivity of the affected area, pain in the neck, shoulder blade, arms and chest.An interesting and not particularly pleasant symptom of cervical osteochondrosis is impaired mobility of the tongue.The thoracic type of osteochondrosis is rare and is characterized by chest pain, especially when breathing.The pain can radiate to the stomach, heart and liver.This type is also characterized by numbness, only now in the chest area.With lumbosacral pathology, patients often complain of pain that radiates to the legs.Another symptom of this type of osteochondrosis is paresis of the lower extremities.
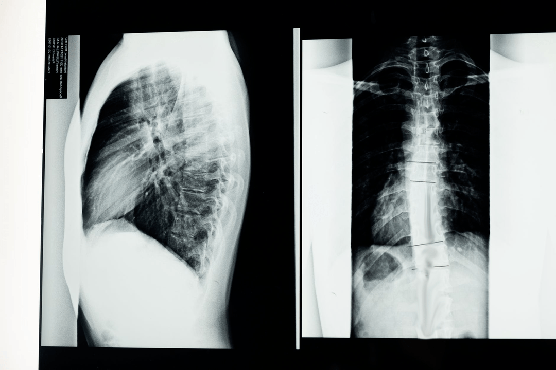
Methods for diagnosing osteochondrosis.

Before starting diagnostic studies, the neurologist collects the patient's medical history and carefully studies his complaints.Osteochondrosis has common symptoms with some other diseases, so it is important to be able to differentiate pathologies.X-ray studies will help confirm the diagnosis of osteochondrosis: radiography, myelography and computed tomography.
A study x-ray allows you to obtain an X-ray image of the spine or a section of it.In this way, the doctor can determine the place affected by the disease.For clarity, we will explain how osteochondrosis can be determined using X-ray: the image will show a narrowing of the intervertebral disc, the presence of bone growths (osteophytes) or a change in the shape of the spinal segment.
Myelographic examination is more complex than radiographic examination.This is due to certain manipulations that doctors must perform during myelography: contrast liquid is injected into the spinal cord canal.This can pose a danger to the patient: firstly, an allergic reaction to the injected substance may develop, and secondly, if the puncture is unsuccessful, the spinal cord may be damaged.Despite this, correctly performed myelography allows specialists to observe the internal structure of the spinal cord canal.This method is especially important for diagnosing a spinal hernia.
CT (computed tomography) and MRI (magnetic resonance imaging) are the most effective and modern methods for differentiating osteochondrosis and diseases of the spine with similar symptoms.
Osteochondrosis treatment

Treatment of osteochondrosis is carried out comprehensively.This therapy acts to eliminate the main syndrome and causes of the disease.To combat osteochondrosis, doctors use acupuncture, vacuum treatment, manual therapy, laser treatment, traction, electrical stimulation, pharmacological and magnetic puncture.The main task in obtaining effective treatment is the timely detection of the disease.People facing this serious disease are worried about the main question: is it possible to cure osteochondrosis?The answer will depend on the form and degree of osteochondrosis.If the treatment of the disease is started at the first stage, you will be able to get rid of osteochondrosis forever.
To treat osteochondrosis, doctors use medicinal and non-medicinal methods.Among the drugs used in the treatment of osteochondrosis, it is worth highlighting:
- Non-steroidal anti-inflammatory drugs.They help eliminate pain and inflammation. NSAIDs can be prescribed for topical use in the form of ointments and gels.
- Novocaine blocks.They deal effectively with pain.
- Steroid medications.They are prescribed in the form of epidural and intramuscular injections.
- Muscle relaxants.These remedies help the patient combat muscle spasms.
- Vitamins B1, B6 and B12.They will help improve the metabolic processes necessary for spinal health.
Examples of non-pharmacological treatments are varied, interesting and enjoyable.The following will help you cope with the manifestations of osteochondrosis without medications:
- exercise therapy;
- physiotherapy;
- massage;
- manual therapy;
- traction;
- reflexology.
Let's look at these treatment methods in more detail.Physiotherapy in the case of osteochondrosis is a selection of physical exercises to eliminate compression of the nerve roots, correct posture and strengthen the muscle corset.Exercise therapy helps prevent the development of complications of osteochondrosis.This physical activity helps reduce the load directly on the spine and also improves its blood supply.
Physiotherapeutic procedures are prescribed to patients with osteochondrosis to eliminate pain and inflammation.Electrophoresis, ultrasound, laser and magnetic treatment all work effectively in this area.Massage stimulates blood circulation and relieves muscle tension.Not only therapeutic massage helps to eliminate pain, but also manual therapy.In addition, it helps restore mobility to the vertebrae and correct posture.

Traction...what is it?Under this, at first glance, incomprehensible word hides a simple meaning: "extension".The desire to stretch the spine is probably familiar to all people suffering from osteochondrosis.In today's medicine there are special devices that allow you to do this.This procedure allows you to get rid of pain and increase intervertebral space.
Another interesting method of non-drug treatment of osteochondrosis is reflexology.It is closely related to acupuncture, since it involves influencing reflexogenic points on the human body.
The best cure for osteochondrosis.
An ideal remedy for osteochondrosis should eliminate pain and inflammation, improve blood circulation, restore the mobility of cartilage and joints, and also reduce depression in the patient.A well-chosen complex of drugs copes with all these tasks.In this part of the article we will analyze all these drugs in detail.
Non-steroidal anti-inflammatory drugs or NSAIDs for osteochondrosis

NSAIDs help a patient with osteochondrosis to overcome pain, inflammation and swelling.These drugs can be produced both for local external use in the form of ointments and gels and for internal use in the form of tablets and injectable solutions.Non-steroidal anti-inflammatories can be from different groups:
- A group of medicines with the active ingredient diclofenac. These medications enhance the analgesic effect of other pain relievers and reduce inflammation.The disadvantage of this group is the impossibility of its use during pregnancy and lactation.
- Unlike the above drugs, drugs from the ibuprofen group are approved for use in pregnant and lactating women under the supervision of a doctor.The substance is well tolerated and can therefore be prescribed to children.
- The ketoprofen group of drugs has an accelerated analgesic effect.
- New generation NSAIDs include the Nimesulide group.They have minimal side effects.
Vasodilators for osteochondrosis.
Narrowing of blood vessels in osteochondrosis is observed in connection with pain and muscle tension.As a result, oxygen starvation occurs in damaged tissues and, as a result, the functionality of internal organs is impaired.To avoid such complications, doctors prescribe vasodilator drugs to their patients.
Muscle relaxants for osteochondrosis.
Muscle relaxants relax the muscles and have a calming effect.This has a beneficial effect on blood flow and promotes the analgesic effect of non-steroidal anti-inflammatory drugs.Muscle relaxants also help speed up the repair process of damaged tissue.
Chondroprotectors for osteochondrosis.
Chondroprotectors and vitamin complexes help restore cartilage tissue.Chondroprotectors are understood as agents that restore not only cartilage tissue, but also the mobility of the joint.Medicines worthy of this group are those based on chondroitin and glucosamine.
Sedatives for osteochondrosis.
It would seem, why take sedatives in the treatment of osteochondrosis?The answer is not as complicated as you might think: a pain syndrome that haunts a person for a long period of time can easily lead to depression and frequent stress.In most cases, taking valerian or motherwort tincture will be sufficient.
The treating doctor must select medications for the treatment of such a serious disease as osteochondrosis.
Corset for osteochondrosis

In the complex treatment of osteochondrosis of any type, doctors consider the use of a corset useful.Corsets are specially made separately for the cervical, thoracic and lumbar regions or for complete fixation of the spine.For thoracic osteochondrosis, corsets made of a special elastic material with metal or plastic splints inside are used.For lumbar osteochondrosis, corsets with rigid metal or plastic transverse and longitudinal inserts are used.The material used for production is adhesive tape or neoprene.A neck corset is called a collar and is rigid.Corsets that repair the entire spine are also called posture correctors.Corsets come in soft, medium and hard.The degree of rigidity of the corset is prescribed by the treating doctor individually.
Wearing a corset for osteochondrosis will help strengthen the back muscles, reduce pain, improve posture, prevent the development of complications and speed up recovery.There are certain rules when wearing a corset.Patients with osteochondrosis should definitely consult with a specialist about the choice and need to wear a corset.For the first time, the corset is put on for no more than 15 minutes, and then it can be worn no more than 6 hours a day.
Prevention of osteochondrosis
Prevention is of great importance to maintain spinal health and prevent exacerbations of osteochondrosis.For prevention, it is necessary to lead a healthy and active lifestyle, exercise and combat excess weight, if any.Stress and nervous shock can also provoke the development of osteochondrosis.Therefore, it is important to control your mental stability and avoid stressful situations.Injuries once received can eventually respond negatively, so it is necessary to avoid them from childhood.Of particular importance is proper nutrition for osteochondrosis and its prevention.
Diet for osteochondrosis

Some experts talk about the important role of nutrition for spinal health.The products consumed by a person must provide substances that synthesize cartilage tissue.We are talking about mucopolysaccharides contained in gelatin, jellied meat and gelatin.It is important to control sufficient fluid intake, since a lack of fluids causes dehydration of the intervertebral discs.Proteins are useful in a normal diet and especially in the presence of osteochondrosis.These substances can be obtained from meat, nuts, fish, beans and eggplants.
Minerals and vitamins strengthen bone tissue.Thus, we can obtain calcium from hard cheeses, dairy products, beans and lettuce.It is important to remember that vitamin D, found in eggs, butter and sea fish, is necessary for the absorption of calcium.Magnesium helps retain calcium in bone tissue and prevents it from being eliminated from the body.Magnesium can be obtained by eating cucumbers, walnuts, and sunflower seeds.Many people know about the phosphorus content in fish, but the fact that this element is also included in the composition of peas, soybeans, bran and white cabbage is a less well-known fact.Sources of manganese include chicken meat, egg yolks, cottage cheese, potato skins, and bananas.
Among the vitamins, it is worth highlighting the special role of groups A, B and C. Sources of vitamin A are raw eggs, liver, carrots and melon.Pork, beef, seafood, mushrooms and cereals contain vitamin B. Ascorbic acid, familiar to us from childhood, is found in fresh fruits and vegetables.
Thus, if we look at the products included in the diet for osteochondrosis or for its prevention, we will see that from this list we can create a menu of very tasty and varied dishes.
Now let's look at the prohibited products.The black list of products for osteochondrosis includes: salt, pickles and marinades, hot spices, processed foods, sugar (can be replaced with honey), soda and coffee.
Complications of osteochondrosis

Osteochondrosis, if not treated properly, can lead to disability in the patient.Complications of this pathology include:
- Spinal cord stenosis due to narrowing of its canal.This causes numbness in the extremities and problems walking.
- Pinched spinal nerves.
- Disc protrusion and later intervertebral herniation.
- Radiculitis.
- Lumbago and sciatica.
- Vegetative-vascular dystonia.
- Schmorl's hernia.
- Vertebral displacement.
- Migraine and headaches.
With osteochondrosis of the cervical spine, an increase in blood pressure is often observed.
If you have complaints about the health of your spine, hurry to seek help from a doctor, because timely treatment is the key to successful recovery.



















